01
비침습적 치료
미세한 절개 수준의 간단한 주사 시술로 부담을 낮춥니다.
Loading...
"줄기세포 주사로 통증 없는 일상으로"
줄기세포 통증관절주사줄기세포를 활용한 무릎 관절염 치료는 보건복지부의 신의료기술 허가를 받은 안전하고 효과적인 시술로 뼈나 연골, 근육, 힘줄 등으로 분화가 가능하고 골수 줄기세포를 활용하여 연골 결손 및 근육재생 등에 도움을 주는 비수술 치료 방법입니다.

Why Stem Cell Therapy?
왜 줄기세포 치료를 해야할까요?01
미세한 절개 수준의 간단한 주사 시술로 부담을 낮춥니다.
02
회복 과정이 비교적 짧아 일상 복귀가 빠르게 가능합니다.
03
상담·검사 후 상태에 따라 당일 시술이 가능할 수 있습니다.
04
손상된 조직 회복을 돕고, 염증 완화에 기여합니다.

아래 항목 중 해당되는 것이 있다면 무릎 관절 줄기세포 시술을 고려해 볼 수 있습니다.
무릎이 붓거나 심한 무릎 통증이 있다
계단을 내려갈 때 무릎이 시큰거린다
걸을 때 무릎에서 뻐근거리는 느낌이 있다
무릎을 구부렸다 펼 때 통증이 있다
아침에 일어나면 무릎이 경직되어 있다
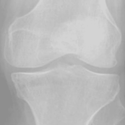
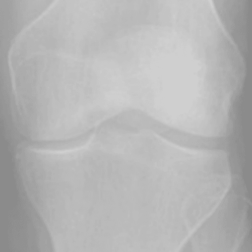
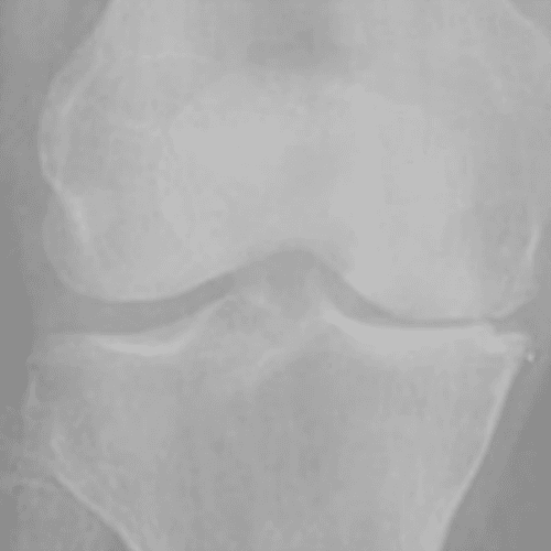
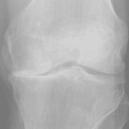
Kellgren and lawrence (KL) Grading System
통증이 발생한 무릎을 x-ray로 촬용한 관절염 결과를 총 4단계로 구분한 것을 KL Grading System 이라고 부르며
2~3단계의 환자들에게 무릎 연골 줄기세포 시술을 진행합니다.

Grade 0
정상 무릎

Grade 1
연골이 손상되기 시작하여 미약한 골극이 보임

Grade 2
연골 손상이 진행되어 골극이 두드러지기 시작함

Grade 3
연골이 많이 손상되어 골극이 심해짐

Grade 4
연골이 거의 사라지고 골극이 매우 심해짐